1000 East Eager Street, Baltimore, MD 21202

Smile Gallery

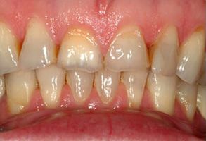
A close-up of a person s teeth with a yellowish tint, likely due to staining or discoloration.

Before

The image shows a close-up of a person s smile, with their teeth prominently visible.

After

The image displays a close-up view of a person s teeth with a focus on the lower front teeth, revealing some dental work or maintenance.

Before

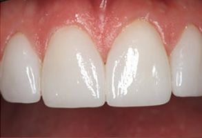
The image displays a close-up view of a person s teeth with a focus on the lower front teeth, highlighting their bright white color and clean appearance.

After

A close-up of a person s smiling mouth showing white teeth.

Before

The image shows a close-up of a person s smile with a focus on their teeth, which are white and well-maintained.

After

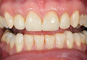
An image of a close-up view of a person s teeth with visible staining and discoloration, showcasing the need for dental care.

Before

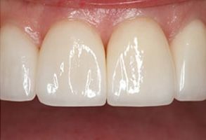
The image shows a close-up of a person s teeth, specifically focusing on the front teeth and gums.

After

The image displays a close-up view of two sets of teeth, one with yellow stains and the other with clean white teeth.

Before

The image displays a close-up view of an individual s teeth with a focus on the top front teeth, which appear to be in need of dental care due to discoloration and possible decay.

After

The image shows a close-up of a person s teeth and gums, with the focus on a section of teeth that appear to be discolored or in need of dental care.

Before

The image displays a close-up of an individual s teeth, showing a healthy and clean appearance with white fillings.

After

The image shows a close-up of a person s mouth with yellowed teeth and an upper lip that is slightly parted, revealing the teeth and gums.

Before

The image displays a close-up view of a person s mouth with teeth that appear to be in the process of being straightened or aligned, as indicated by the presence of braces.

After